Skip to main content
  • Home
  • About Journal
    • Aim and Scope
    • Editorial Policy
    • Peer Review Process
    • Bibliographic Listings
  • Editorial Board
  • For Authors
    • Information for Authors
    • Article Submission and Charges
    • Submit Article
    • Downloads
  • Contact Us
Pharmacognosy Journal
An Open Access, Peer Reviewed Journal in the field of
Pharmacognosy

Search form

Pharmacognosy Journal
  • Articles In Press
  • Current Issue
  • Archives
  • RSS Feeds
  • Submit Article
Home / Rat

Rat

latest

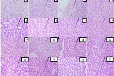
Histopathological micrographs of rat liver sections Arrows indicate areas of hepatocellular degeneration characterized by cytoplasmic vacuolization and disrupted hepatic cord architecture.

Subchronic Toxicity Assessment of Arsenic-Contaminated Rice Following Repeated Oral Administration in Wistar Rats

3 weeks 1 day ago By sys1 [comment_count]
Read more
Syzygium cumini’s extract decreased malondialdehyde

Syzygium Cumini Leaves Extract from West Sumatra Indonesia Alleviate Oxidative Stress by Decreasing Malondialdehyde Level and Enhancing Catalase Activity in Rat Induced by Lead Acetate

4 years 6 months ago By sys1 [comment_count]
Read more
Effect of the ethanol extract of A. cherimola on biochemical parameters in hepatic damage induced by paracetamol in rats

Antioxidant and Hepatoprotective Activity of Ethanol Extract of Annona cherimola Mill. On Paracetamol-Induced Liver Toxicity in Rats

4 years 10 months ago By sys1 [comment_count]
Read more

Aqueous Methanolic Bark Extract of Oroxylum indicum Inhibited Testosterone induced Prostate Hyperplasia in Rat

4 years 11 months ago By hsm [comment_count]
Read more
Graphical Abstract

Effects of Beta-Carboline Alkaloids of Peganum Harmala on Induced Rat Ileum Contractions

6 years 2 months ago By sys1 [comment_count]
Read more
Number of endometrial glands in the cross-section of the uterus. E: Endometrial gland, M: 100 times

Efficacy of Allium sativum, Curcuma mangga and Acorus calamus Extract Combination on Rat Fertility

6 years 3 months ago By sys1 [comment_count]
Read more
Effect of Garcinia daedalanthera extract on total cholesterol

Cholesterol-lowering Effects of Extract from Garcinia daedalanthera in Hyperlipidemic rats

7 years 9 months ago By sys1 [comment_count]
Read more

The Serum Protein Fractions in Streptozotocin (STZ) Administrated Rat Models

9 years 6 months ago By webadmin [comment_count]
Read more

Pages

  • 1
  • 2
  • next ›
  • last »

Submit your Next Article

  • Online submission
  • Highly indexed and abstracted
  • 17 years of successful publishing
  • Wider visibility though open access
  • Higher impact with wider visibility
  • Prompt review

Submit your next article to Phcog J

and be a part of many successful authors.
Create free account  / Login

About

Pharmacognosy Journal (Phcog J.) covers different topics in natural product drug discovery, and also publishes manuscripts that describe pharmacognostic investigations, evaluation reports, methods, techniques and applications of all forms of medicinal plant research
Distinctions:  The most widely read, cited, and known Pharmacognosy journal and website is well browsed with all the articles published. More than 50,000 readers in nearly every country in the world each month
ISSN : 0975-3575 ; Frequency : Rapid at a time publication (6 issues/year)
Indexed and Abstracted in : SCOPUS, Scimago Journal Ranking, Chemical Abstracts, Excerpta Medica / EMBASE, Google Scholar, CABI Full Text, Index Copernicus, Ulrich’s International Periodical Directory, ProQuest, Journalseek & Genamics, PhcogBase, EBSCOHost, Academic Search Complete, Open J-Gate, SciACCESS.
Rapid publication: Average time from submission to first decision is 30 days and from acceptance to In Press online  publication is 45 days.
Open Access Journal: Pharmacognosy Journal is an open access journal, which allows authors to fund their article to be open access from publication. 

 

Submit your Next Article

  • Online submission
  • Highly indexed and abstracted
  • 10 years of successful publishing
  • Wider visibility though open access
  • Higher impact with wider visibility
  • Prompt review

Submit your next article to Phcog J

and be a part of many successful authors.
Create free account  / Login

Copyright © 2026 Pharmacogn J. All rights reserved.

Pharmacognosy Journal and its contents are licensed under a Creative Commons Attribution-Non Commercial-No Derivs 4.0 License. Permissions beyond the scope of this license may be available with  editor@phcogj.com

  • Home
  • Advertise with us
  • Privacy Statement