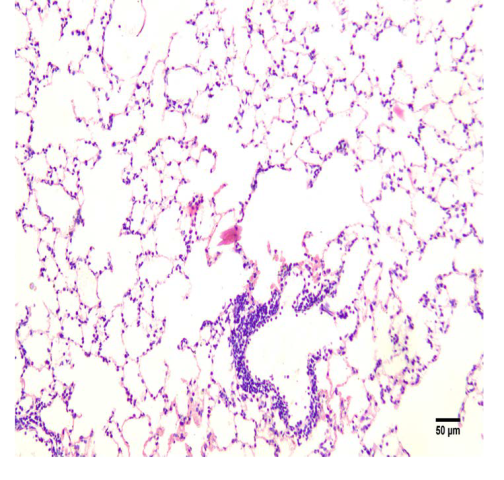
ArticleViewAbstractPharmacognosy Journal,2025,17,5,566-576.DOI:10.5530/pj.2025.17.70Published:September 2025Type:Original ArticleAcute Toxicity Study of the Crude Aqueous Extract of Tribulus terrestris Dried Fruit with Potential Diuretic EffectAmruth Kiran, Praveen Kumar S E, Tatiyana Mandal, K Ganesh Shenoy, Vasudev R Pai, Swati Sharma, and Arul Amuthan Amruth Kiran1, Praveen Kumar S E2, Tatiyana Mandal1, K Ganesh Shenoy1, Vasudev R Pai3, Swati Sharma4, Arul Amuthan1,5,* 1Division of Pharmacology, Department of Basic Medical Sciences, Manipal Academy of Higher Education, Manipal, India 2Department of Pharmacology, Manipal Tata Medical College, Manipal Academy of Higher Education, Manipal, INDIA 3Department of Pharmacognosy, Manipal College of Pharmaceutical Sciences, Manipal Academy of Higher Education, Manipal, INDIA 4Department of Pathology, Kasturba Medical College, Manipal Academy of Higher Education, Manipal, INDIA 5Division of Siddha, Centre for Integrative Medicine and Research (CIMR), Manipal Academy of Higher Education, Manipal, India Abstract:Introduction: Tribulus terrestris is an important medicinal plant used in Indian traditional medicine, the crude aqueous extract of the plant is primarily used to induce diuresis for treating cardiovascular diseases and managing renal stones, etc... The safe dose and adverse effect profile of the extract was not explored adequately in preclinical studies. Hence, the present study was undertaken. Methods: The acute toxicity was assessed based on the OECD guideline number 425: Acute Oral Toxicity – Up-and-Down-Procedure. A total of 11 animals were used in the study. Initially, one animal was administered with a dosage of 2000 mg/kg; and as the animal survived, four more animals were dosed and were observed for survival and other possible adverse drug reactions. The animals' body weight was measured before experimenting and at the end of the study. Biochemical and haematological examinations were done on normal control and test groups. Animals from the test group were sacrificed, and histopathological examinations of the vital organs were carried out. Results: No signs of toxicity or changes in the behaviour were observed in the treatment group. As all the animals survived, it was decided that the LD50 was greater than 2000 mg/kg. However, the changes observed with platelets, total cholesterol and LDL were within the normal limits. Histological examination of the vital organs did not reveal any changes in the architecture of the organs. Conclusion: Our study demonstrated that the crude aqueous extract of Tribulus terrestris dried fruit does not cause toxicity under the 2000 mg/kg dose limit. Keywords:acute toxicity study, crude aqueous extract, Indian traditional medicine, Siddha system of medicine, Tribulus terrestris, Wistar RatsView:PDF (538.92 KB) PDF Images Histopathology of lung tissue consisting of alveoli and bronchioles ‹ Antioxidant Activity and Isolation of Xanthine Oxidase Inhibitor from Ruellia tuberosa L. Leaves up Antibacterial and Antioxidant Activity of Black Mulberry (Morus nigra L.) Extract for Acne Treatment ›